Permasalahan Gigi

 



Karang gigi atau kalkulus gigi adalah timbunan plak gigi yang mengeras. Plak gigi terbentuk ketika bakteri dalam mulut bercampur dengan protein dan sisa-sisa makanan pada gigi. Biasanya, plak gigi timbul karena sikat gigi yang kurang bersih. Jika tidak dibersihkan, maka plak tersebut dapat menyebabkan karang gigi. Lakukan scaling gigi. Scaling gigi adalah prosedur pembersihan karang gigi dengan menggunakan alat yang disebut dengan ultrasonic scaler. Karang gigi atau tartar itu sendiri adalah tumpukan plak yang menempel dan mengeras pada permukaan gigi. Konsultasikan dengan kami dengan biaya yang sangat murah tanpa antri dan proses cepat. 





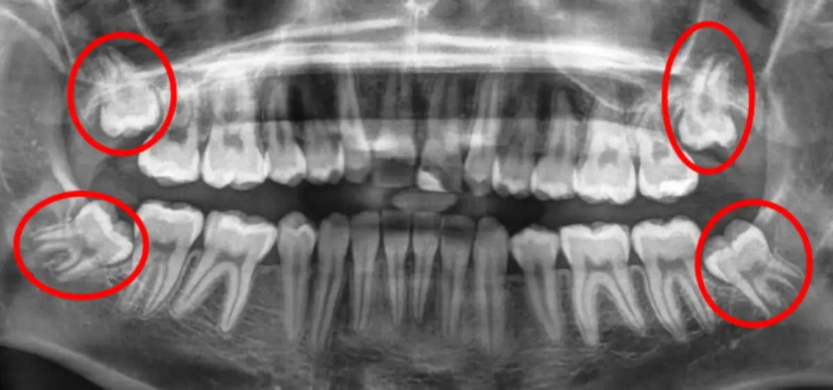
Impaksi gigi adalah sebutan untuk gigi yang tidak bisa tumbuh sehingga tertanam di dalam gusi, baik sebagian maupun sepenuhnya. Kondisi ini cukup sering terjadi dan umumnya tidak menimbulkan rasa nyeri. Impaksi gigi paling sering dialami oleh gigi bungsu (gigi yang tumbuh terakhir saat seseorang dewasa). Untuk pendaftaran SEKDIN/POLRI/TNI  gigi impaksi kategori stekes 4 gugur. Lakukan operasi bedah mulut gigi impaksi. Konsultasikan dengan kami dengan proses cepat tanpa antri dan biaya sangat terjangkau


Pages